آیا دندان بدون تاج کودکان قابل ترمیم است؟ ترمیم دندان بدون تاج چگونه می باشد؟ برای اینکه پاسخ این سوالات را دریابید با بهترین متخصص دندانپزشکی کودکان غرب تهران همراه باشید. در حوزه دندانپزشکی اطفال، تکنیک هایی وجود دارد که تمامی مشکلات دندان های کودکان را به بهترین شکل حل می کند و این دغدغه را از والدین گرفته است که چگونه باید دندان کودکان خردسال خود را ترمیم کنیم.
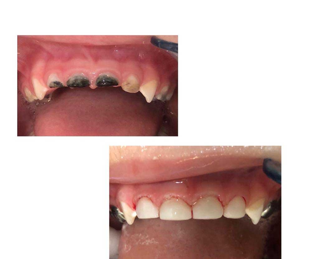
ترمیم تاج دندان کودکان یکی از مهمترین و تخصصی ترین کارهایی است که هر دندانپزشک متخصص کودکانی باید به آن تسلط کافی داشته باشد. معمولا پوسیدگی تاج دندان در کودکان رایج است و این موضوع به دلیل عدم رعایت بهداشت دهان دندان و استفاده از خوراکی های مضر است تا بیشتر در دندان های شیری دیده میشود.
تاج دندان چه کارآیی دارد؟
تاج دندان در واقع همان کلاهکی است که روی همه دندان ها چه در کودکان و چه در بزرگسالان قرار دارد. تاج دندان قسمت رویی دندان است که قسمت های پر شده را نیز کاور می کند و اگر پوسیده و خراب شود ظاهر و زیبایی دندان را تحت تاثیر قرار می دهد.
ترمیم دندان بدون تاج در کودکان از کارهای تاثیرگذار در زیبایی لبخند کودک است و بهتر است به هوای اینکه دندان شیری است و قرار است بیافت در مورد آن کوتاهی نکنید.
ترمیم کردن تاج دندان های پوسیده یک شکل یک دست و آراسته به دندان ها می بخشد که با تراشیدن دندان و گاهی با روکش خرابی آن را جبران می کنند.

انواع تاج دندان
- تاج دندان شیری
- تاج دندان دائمی
- تاج دندان فلزی
- تاج دندان سرامیکی
- تاج دندان موقت
دندان ها زمانی که خراب میشوند از چند نوع تاج برای ترمیم آنها استفاده می کنند که در بالا نام بردیم. تاج از مهمترین قسمت های دندان ها به حساب می آید که این موضوع را در کودکان نباید نادیده گرفت. تاج دندان نقش مهمی در محافظت کلی دندان ها دارد و چنانچه آسیب ببیند و از بینن برود باید آنها را ترمیم کرد که توسط دندانپزشکان متخصص کودکان انجام می شود.