پرش به محتوا
صفحه اصلی
خدمات
خدمات کودکان
روکش زیرکونیا
خدمات عمومی
خدمات زیبایی
جراحی ها
دندان پزشکان
صفحه اصلی
خدمات
خدمات کودکان
روکش زیرکونیا
خدمات عمومی
خدمات زیبایی
جراحی ها
دندان پزشکان
وبلاگ
گالری
گالری کودکان
تماس با ما
وبلاگ
گالری
گالری کودکان
تماس با ما
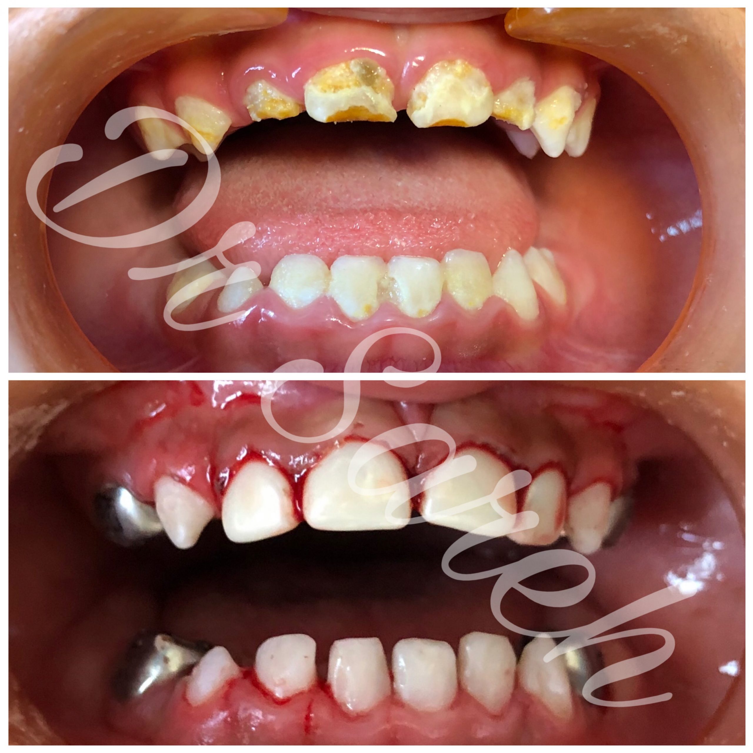
روکش دندان
صفجه اصلی
خدمات
کودکان
روکش زیرکونیا
زیبایی
عمومی
جراحی
دندانپزشکان
نوبت دهی
وبلاگ
تماس با ما
صفجه اصلی
خدمات
کودکان
روکش زیرکونیا
زیبایی
عمومی
جراحی
دندانپزشکان
نوبت دهی
وبلاگ
تماس با ما
جستجوی خدمات
Search Service
جستجو ...
نتایج